- Может ли болеть десна после удаления зуба
- Почему боль в десне не проходит после удаления зуба
- Удалили нерв, а зуб болит
- Методы снятия боли после удаления нерва зуба
Стоматолог, пожалуй, самый нелюбимый врач всех людей, а особенно детей. Так, по крайней мере, было раньше. Сейчас, благодаря развитию стоматологии лечить и удалять зубы можно совершенно безболезненно и быстро. Появилось много частных клиник, поэтому каждый человек может сделать свой выбор. Но, к сожалению, даже профессионал не застрахован от неправильного удаления зуба и развития после него осложнений.
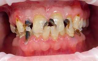
Болит десна
После визита к стоматологу пациенты иногда сталкиваются с неприятными последствиями, которые могут вызвать беспокойство. Врачи отмечают, что наиболее распространенными проблемами являются боль, отек и чувствительность зубов. Эти симптомы могут возникнуть как после удаления зуба, так и после проведения пломбирования или чистки.
Некоторые пациенты также сообщают о появлении инфекций, которые требуют дополнительного лечения. Врачи подчеркивают важность соблюдения рекомендаций после процедур, таких как правильный уход за полостью рта и прием назначенных лекарств.
Кроме того, психологический аспект не следует игнорировать: страх перед стоматологическими манипуляциями может привести к стрессу и негативным эмоциям. Важно, чтобы стоматологи уделяли внимание не только физическому состоянию пациента, но и его психологическому комфорту, чтобы минимизировать возможные неприятные последствия.

Чаще всего после удаления зуба может заболеть десна, какие же могут быть причины?
- Нормальная реакция организма на операцию экстракции зуба. Поэтому непродолжительная боль после экстракции не должна вызывать панику. В случае если боль долго не покидает человека (более недели), то это повод для обращения к стоматологу.
- Зуб удалили не полностью. Даже опытные стоматологи не могут похвастаться отсутствием ошибок в их практике. Можно не увидеть маленькие кусочки зуба (корня) в десне, которые вызывают сильную боль, а десна отекает. В этом случае придется повторно посетить стоматолога, который разрежет десну и достанет оставленные в ней мелкие части зуба.
- Воспалилась лунка и окружающие ее ткани. Это состояние именуется в медицине альвеолитом. Лунка зуба воспаляется вследствие ее инфицирования. Альвеолит обычно развивается при удалении сложных зубов, например, зубов мудрости. Их экстракция связана с сильным травмированием десны и челюстной кости. Часто удаление таких зубов сопровождается появлением боли в десне, в связи с развитием, так называемого, синдрома «сухой лунки». Его развитие связано с вымыванием или отсутствием образования сгустка крови в лунке после экстракции зуба. Сгусток обеспечивает нормальное заживление раны десны. Клиническими проявлениями альвеолита является появление тупой боли со склонностью к постоянному усилению и неприятного запаха.
Стоматолог не только удаляет зубы, но и лечит их. При лечении зубов тоже могут возникать неприятные последствия. Часто случается ситуация, когда нерв удалили, а зуб продолжает болеть. Почему это происходит?
Зуб имеет пульпу, которая состоит из нервных окончаний и сосудов. То, что в быту называют нервом зуба, является его пульпой. Именно благодаря пульпе зуб реагирует на внешние раздражители. После того, как нерв удален, зуб, по сути, становится мертвым (лишенный питания и нервной иннервации) и многих удивляет, почему он продолжает болеть.
Удаление нерва
После визита к стоматологу многие пациенты сталкиваются с неприятными последствиями, которые могут варьироваться от легкого дискомфорта до серьезных осложнений. Часто люди жалуются на болевые ощущения, которые могут сохраняться несколько дней после процедуры. Некоторые отмечают, что анестезия вызывает временные проблемы с речью и движением губ, что добавляет неудобств в повседневной жизни.
Также распространены отзывы о повышенной чувствительности зубов к холодному и горячему после лечения. В редких случаях пациенты сталкиваются с отеками или воспалениями, что вызывает дополнительное беспокойство. Не стоит забывать и о психологическом аспекте: страх перед стоматологическими процедурами может усиливаться после негативного опыта. Важно помнить, что регулярные визиты к стоматологу помогают избежать более серьезных проблем в будущем, и многие неприятные последствия можно минимизировать с помощью правильного ухода за полостью рта.

Причины боли в зубе после удаления нерва следующие:
- Нормальная реакция на вмешательство в структуру зуба. В данном случае боль носит временный характер и, чаще всего, появляется при попадании горячей или холодной пищи или при сильном сжимании челюсти. Боль должна исчезнуть через пару дней, в течение которых возможен прием обезболивающих препаратов.
- Некачественное лечение. Нерв может быть удален не полностью, что приведет к появлению постоянных болей в зубе. Это требует повторного лечения.
- Невралгия тройничного нерва. Данное заболевание может развиться после удаления пульпы зуба и характеризуется тем, что появляется боль в зубе при прикосновении к нему и надкусывании, появляется чувство онемения. Невралгия характеризуется появлением болевых пароксизмов, появление которых происходит даже при незначительных движениях мышц лица. Помочь могут обезболивающие препараты (найз, кеторол). Они снимают не только боль, но и воспаление. Избежать визита к стоматологу не удастся, так как возможно возникновение осложнений, которые могут привести к необходимости удаления зуба.
Иногда, стоматологи, прежде чем запломбировать зуб, пытаются «убить нерв» с помощью мышьяка, вернее мышьяковистых паст. Временную пломбу с мышьяком устанавливают в случае, когда зуб находится в запущенном состоянии, с воспаленной пульпой (пульпит). Ставят пломбу на 1-2 суток. Снять ее нужно вовремя, так как длительное нахождение мышьяка в зубе способно вызвать токсический периодонтит. Современная стоматология использует более безопасные и нетоксичные вещества, например, «Депульпин». Его можно оставлять в зубе на 10-15 дней.
Мышьяк в зубе
Может возникнуть такая ситуация, когда мышьяк поставили, а зуб болит. Причины этого следующие:
- Боли в зубе, после того как поставили мышьяк, могут являться нормальной реакцией организма (характерна тупая боль временного характера). Но в настоящее время боль редко сопровождает лечение мышьяком, так как используются современные препараты, содержащие в своем составе обезболивающие вещества.
- Мышьяковистая паста вытекла из зуба в полость рта и не успела «убить нерв».
При возникновении любых последствий лечения и удаления зубов не следует бояться посетить стоматолога повторно. Ведь, исправить ошибки неправильного лечения, может только он.
Когда мы обращаемся к стоматологу, мы ожидаем получить качественное лечение и решение всех проблем с нашей полостью рта. Однако, не всегда визит к стоматологу приносит только положительные эмоции и результаты. Некоторые пациенты сталкиваются с неприятными последствиями после процедур, которые могут оказаться даже опасными для здоровья.
Одной из наиболее распространенных проблем, с которыми сталкиваются пациенты после визита к стоматологу, является болезненная реакция на анестезию. Во время обычных процедур, таких как удаление зубов или лечение корней, стоматолог применяет анестетик для обезболивания. Однако, у некоторых людей может возникнуть неожиданная аллергическая реакция на анестезию, что приводит к сильному отеку, зуду и боли в области введения лекарства. Это может значительно осложнить и продлить процесс восстановления после визита к стоматологу.
Еще одной неприятной проблемой после посещения стоматолога может стать инфекция. В ходе различных процедур, особенно связанных с хирургией и удалением зубов, раны и трещины могут стать открытыми для патогенных микроорганизмов. В случае неправильной стерилизации инструментов или нарушении антисептических правил, пациент может заразиться различными инфекциями, что приведет к дополнительным проблемам и необходимости дополнительного лечения.
Таким образом, важно быть готовым к возможным неприятным последствиям после визита к стоматологу. Если после процедуры у вас возникли необычные симптомы или боли, необходимо немедленно обратиться к специалисту, чтобы избежать осложнений и продолжительного лечения. Кроме того, важно выбирать опытных и профессиональных стоматологов, чтобы минимизировать риск возникновения неприятных последствий.

Болезненные ощущения после лечения зубов
- Повышенная чувствительность: некоторые процедуры, такие как обработка зубов анестезией или удаление зубов, могут вызывать повышенную чувствительность, которая может проявляться болезненными ощущениями после лечения.
- Травмы тканей: иногда во время лечения зубов могут возникать травмы мягких тканей полости рта, такие как десны или язык. Это может вызвать болезненные ощущения и дискомфорт после процедуры.
- Воспаление: некоторые процедуры могут вызывать воспалительные реакции в полости рта, которые могут привести к болезненным ощущениям. Например, после удаления зуба может возникнуть альвеолит – воспаление альвеолярной кости, что вызывает боль и дискомфорт.
- Неправильный прикус: несовершенное соответствие прикуса после лечения зубов может вызывать болезненные ощущения, так как это влияет на равномерное распределение нагрузки на зубы.
Если после лечения зубов возникли болезненные ощущения, рекомендуется проконсультироваться со стоматологом. Он сможет оценить состояние полости рта, определить причину болезненных ощущений и назначить соответствующее лечение. Важно не откладывать посещение стоматолога, так как неприятные ощущения могут свидетельствовать о возможных осложнениях или проблемах, требующих немедленного лечения.
Постоянная чувствительность зубов к холоду и теплу
Если после посещения стоматолога у вас возникла постоянная чувствительность зубов к холоду и теплу, это может быть одним из неприятных последствий процедур.
Чувствительность зубов может возникнуть в результате удаления кариозных поражений, проведения лечения зубов или процесса отбеливания. Это связано с тем, что при проведении различных манипуляций на зубах может быть повреждена эмаль или дентин.
Когда эмаль повреждена, зубы становятся более чувствительными к холоду и теплу. При контакте с холодными или горячими напитками, пищей или воздухом, возникает резкая боль, которая может длиться несколько секунд или минут.
Если у вас возникла постоянная чувствительность зубов, важно обратиться к стоматологу. Он проведет осмотр и определит причину чувствительности. В зависимости от диагноза, вам могут быть рекомендованы различные методы лечения, включая применение специальных зубных паст, использование гелей или проведение профилактических обработок.
Помимо этого, существуют несколько способов снизить чувствительность зубов в домашних условиях. Важно правильно подобрать зубную щетку с мягкой щетиной, использовать зубные пасты для чувствительных зубов и избегать пищи и напитков, которые могут вызывать дискомфорт.
Постоянная чувствительность зубов к холоду и теплу является неприятным последствием, но современные методы лечения и правильные профилактические меры позволяют справиться с этой проблемой и снова наслаждаться едой и питьем без боли.
Возможные осложнения после удаления зуба
Кровотечение
Одним из наиболее частых осложнений после удаления зуба является кровотечение. Обычно небольшое кровотечение в первые несколько часов считается нормальным. Однако, если кровь продолжает идти в течение длительного времени или в больших количествах, необходимо немедленно обратиться к врачу.
Инфекция
После удаления зуба возможно развитие инфекции. Она может проявиться в виде отека, боли, рвоты или лихорадки. Для предотвращения инфекции врач обычно назначает антибиотики и рекомендует производить регулярные полоскания рта антисептическим раствором.
Альвеолит
Альвеолит – это осложнение, которое может произойти, когда сгусток крови, который образуется в месте удаленного зуба, разрушается или смещается. Это может привести к сильной боли, неприятному запаху изо рта и появлению некротической ткани. Для лечения альвеолита необходимо посетить стоматолога, чтобы он мог удалить некротическую ткань и промыть рану.
| Осложнение | Симптомы | Необходимое лечение |
|---|---|---|
| Кровотечение | Интенсивное и продолжительное кровотечение | Своевременное обращение к врачу |
| Инфекция | Отек, боли, рвота, лихорадка | Прием антибиотиков, полоскание рта антисептиком |
| Альвеолит | Сильная боль, неприятный запах изо рта, некротическая ткань | Посещение стоматолога для удаления некротической ткани и промывания раны |
В целом, большинство осложнений после удаления зуба можно избежать, соблюдая все рекомендации стоматолога и правильно ухаживая за раной. Однако, в случае появления любых неприятных симптомов, необходимо незамедлительно обратиться к врачу для диагностики и лечения.
Кровоточивость дёсен и неприятный запах изо рта
После посещения стоматолога некоторые пациенты могут столкнуться с такими неприятными последствиями, как кровоточивость дёсен и неприятный запах изо рта. Эти проблемы могут возникать по разным причинам и требуют особого внимания.
Кровоточивость дёсен
Кровоточивость дёсен после стоматологического вмешательства является нормальной реакцией организма в первые часы или дни после процедуры. Однако, если кровоточивость продолжается более продолжительное время или сопровождается другими симптомами (например, отеком или болезненностью), это может говорить о проблеме.
Одной из причин кровоточивости дёсен может быть неправильная гигиена полости рта. Недостаточное чистка зубов и зубных промежутков может привести к образованию зубного налета, который стимулирует размножение бактерий. Бактерии, в свою очередь, вызывают воспаление дёсен и ухудшают их состояние.
Чтобы предотвратить или устранить кровоточивость дёсен, необходимо соблюдать правила хорошей гигиены полости рта. Регулярное и правильное чистка зубов и использование зубной нитки поможет удалить зубной налет и предотвратить развитие воспаления дёсен. Также рекомендуется регулярные профессиональные чистки зубов у стоматолога.
Неприятный запах изо рта
Ещё одной неприятной проблемой, с которой пациенты могут столкнуться после визита к стоматологу, является неприятный запах изо рта. Образование неприятного запаха часто связано с рядом факторов, таких как наличие зубного налета, воспаление дёсен или проблемы с зубами.
Основополагающим фактором возникновения неприятного запаха изо рта является наличие бактерий в полости рта. Бактерии образуются при неправильной гигиене зубов, а также в результате различных заболеваний полости рта.
Для борьбы с неприятным запахом изо рта необходимо правильно ухаживать за полостью рта: регулярно чистить зубы, использовать зубную нитку и ополаскиватель, а также посещать стоматолога для профессиональной чистки зубов и диагностики возможных проблем.
Итак, кровоточивость дёсен и неприятный запах изо рта – это неприятные последствия, с которыми пациенты могут столкнуться после посещения стоматолога. Однако, соблюдение правил хорошей гигиены полости рта и регулярные визиты к стоматологу помогут предотвратить или устранить эти проблемы.
Психологические последствия стресса при посещении стоматолога
Стоматологические процедуры часто вызывают у пациентов стресс и тревогу. Неприятные ощущения, боль и страх перед более серьезными проблемами с зубами могут оказывать психологическое воздействие на человека.
Эмоциональные последствия, которые могут возникнуть после посещения стоматолога, могут быть различными:
- Страх и тревога: Многие люди испытывают страх перед посещением стоматолога. Они могут беспокоиться о возможной боли, неудобствах или осложнениях. Этот стресс и тревога могут привести к отказу от регулярных стоматологических осмотров, что может ухудшить состояние зубов и десен.
- Недоверие и неудовлетворенность: Некоторые пациенты могут испытывать чувство недоверия к стоматологу или быть неудовлетворенными результатом лечения. Это может влиять на их отношение к стоматологии в целом и приводить к необходимости поиска другого специалиста.
- Посттравматическое стрессовое расстройство (ПТСР): У некоторых людей, особенно у тех, кто пережил болезненные или негативные визиты к стоматологу в детстве, может возникнуть посттравматическое стрессовое расстройство. Они могут развивать фобию стоматологических процедур и трудности в построении доверительных отношений со стоматологом.
Для снижения психологического воздействия стресса при посещении стоматолога, стоит учесть следующие рекомендации:
- Поиск хорошего стоматолога, с которым вы будете чувствовать себя комфортно и доверять ему.
- Использование методов расслабления и дыхательных упражнений для снятия тревоги и напряжения.
- Общение с врачом о своих опасениях и ожиданиях, чтобы уменьшить неприятные сюрпризы и недовольство лечением.
- Регулярное посещение стоматолога для предотвращения серьезных проблем и уменьшения тревоги в будущем.
Возможные проблемы с состоянием эмоционального здоровья
Посещение стоматолога может вызвать неприятные эмоциональные реакции у пациентов. Это может быть связано с различными факторами, например:
-
Страх и тревога: Большинство людей испытывает некоторую степень тревоги перед походом к стоматологу. Это может быть связано с прошлым негативным опытом или страхом перед болезненными процедурами. В результате, пациенты могут чувствовать себя напряженными и тревожными уже до посещения стоматологической клиники.
-
Дискомфорт и боль: Некоторые стоматологические процедуры могут вызывать дискомфорт и болевые ощущения. Это может быть связано с инъекциями анестезии, использованием острых инструментов или продолжительным открытием рта. Боль или дискомфорт могут вызывать чувство стресса и неприятности у пациента.
-
Неприятное общение: Некоторые пациенты могут испытывать неприятности во время общения с стоматологом или медицинским персоналом. Это может произойти из-за недостаточной коммуникации или плохого отношения. Негативный опыт общения может вызывать эмоциональное недовольство и повышенный уровень стресса у пациента.
-
Финансовые проблемы: Стоматологические процедуры могут быть дорогостоящими, особенно если требуется лечение сложных проблем. Высокие затраты могут вызывать финансовый стресс и беспокойство у пациента, особенно если у него нет страховки или достаточных средств.
Все эти факторы могут оказывать негативное влияние на эмоциональное состояние пациента. Психологическое напряжение и стресс могут отрицательно сказаться на общем самочувствии, усугубить проблемы с сном и ухудшить эмоциональное благополучие. Важно помнить, что эти проблемы не являются неизбежными и существуют стратегии, которые помогают справиться с ними.
Вопрос-ответ:
Какие могут быть неприятные последствия после визита к стоматологу?
После визита к стоматологу могут возникнуть такие неприятные последствия, как боль, отек, кровотечение, повышенная чувствительность, инфекция, аллергические реакции и другие.
Что делать, если после посещения стоматолога возникла боль?
Если после посещения стоматолога возникла боль, нужно обратиться к врачу, чтобы он выяснил причину и предложил соответствующее лечение. Также можно принять обезболивающее или применить холод на больное место.
Возможно ли проявление аллергической реакции после посещения стоматолога?
Да, возможно проявление аллергической реакции после посещения стоматолога. Она может проявиться в виде зуда, покраснения кожи, отека, высыпаний и других симптомов. Если у вас есть аллергия на какие-либо лекарственные препараты или материалы, необходимо предупредить врача об этом.
Какие травмы могут возникнуть после визита к стоматологу?
После визита к стоматологу можно получить травмы в виде ран, ссадин, ушибов, синяков и даже переломов. Это может произойти в результате неправильного использования инструментов или из-за неосторожности стоматолога. Если вы обнаружили травму после визита к стоматологу, рекомендуется немедленно обратиться к другому специалисту или в медицинское учреждение.
Каким образом можно предотвратить неприятные последствия после визита к стоматологу?
Для предотвращения неприятных последствий после визита к стоматологу необходимо выбирать квалифицированного специалиста, использовать только проверенные материалы и инструменты, соблюдать все инструкции и рекомендации врача, не откладывать посещение стоматолога на долгий срок и следить за состоянием полости рта после процедур.
После визита к стоматологу могут возникнуть различные неприятные последствия, такие как боль, отечность, кровоточивость десен, отслоение эмали, чувствительность зубов, аллергические реакции, инфекция и другие осложнения.
Почему возникает боль после посещения стоматолога?
Боль может возникать после посещения стоматолога из-за различных причин, таких как осложнения после проведения зубного лечения, воспаление десен, перфорация нерва, чувствительность зубов, повреждение мягких тканей во время процедур и другие факторы.
Что делать, если после визита к стоматологу возникли отечность и кровоточивость десен?
Если после визита к стоматологу возникли отечность и кровоточивость десен, рекомендуется промывание ротовой полости теплой солевым раствором, использование мягкой зубной щетки, применение антисептических препаратов и обязательное обращение к стоматологу для диагностики и лечения возможных осложнений.
Может ли отслоение эмали быть неприятным последствием после визита к стоматологу?
Да, отслоение эмали может быть неприятным последствием после визита к стоматологу. Это может произойти из-за механического воздействия на зуб, использования абразивных материалов или ошибок в технике лечения. Отслоение эмали может вызвать чувствительность зубов и требует вмешательства стоматолога для коррекции проблемы.
Какие могут быть осложнения после проведения зубного лечения?
После проведения зубного лечения могут возникнуть различные осложнения, такие как инфекция, воспаление, гнойное отекание, повреждение нерва, кровотечение, повреждение сосудов, раздражение десен, чувствительность зубов, смещение пломбы и другие проблемы. В случае возникновения осложнений необходимо обратиться к стоматологу для их устранения.
Какие могут быть неприятные последствия после первого посещения стоматолога?
После первого посещения стоматолога могут возникнуть некоторые неприятные последствия, такие как небольшая боль или чувствительность в зубах или деснах, кровоточивость десен, небольшое отечество или дискомфорт во рту. Обычно эти симптомы проходят через несколько дней без вмешательства.
Какие могут быть серьезные неприятные последствия после пломбирования зуба?
После пломбирования зуба могут возникнуть некоторые серьезные неприятные последствия, такие как инфекция, боли или ощущение напряжения в зубе, повышенная чувствительность к холоду или жаре, отек десен или лица, кровоточивость десен, изменение окраски зуба. Если вы столкнулись с подобными проблемами, необходимо незамедлительно обратиться к своему стоматологу для получения помощи.
Вопрос-ответ
Каковы причины дискомфорта после лечения зуба?
Почему болит зуб после лечения Боль после лечения зуба может иметь несколько причин: Воспаление тканей и десны в полости рта. Боль обычно ноющая, постоянная и способна усиливаться при прикосновении к зубу или десне. Это типичная реакция организма на травму, и такая боль обычно проходит в течение 1-2 дней.
Какие могут быть последствия анестезии у стоматолога?
Анестезия у стоматолога: осложнения Даже инъекция в нежную ткань десны может вызвать осложнения. Из-за него часто бывает, например, боль в десне или гематома после анестезии у стоматолога. Кроме того, анестетики часто содержат сосудосуживающие средства – адреналин или адреналин. Они также влияют на организм.
Почему после лечения зубов болит весь рот?
Чаще всего это происходит от того, что проведена неправильная шлифовка пломбы. Произошел перегрев твердых тканей. При перегреве тканей боль может пройти, когда ткани восстановятся или отомрут. Однако, в этом случае прохождение боли — обманчивый фактор, так как вы не застрахованы от дальнейшего развития пульпита.
Что нельзя делать после посещения стоматолога?
В первые 3-4 часа не есть горячую пищу и не пить горячие напитки, чтобы не получить ожог слизистых. Любую еду нужно пережевывать с осторожностью, некоторые анестетики могут снижать скорость реакции, влиять на внимание, координацию движений. В редких случаях появляется головная боль.
Советы
СОВЕТ №1
Перед визитом к стоматологу обязательно обсудите все свои опасения и вопросы с врачом. Это поможет вам лучше понять предстоящую процедуру и уменьшит уровень тревожности.
СОВЕТ №2
После стоматологического лечения следуйте всем рекомендациям врача по уходу за полостью рта. Это включает в себя правильную гигиену, использование назначенных медикаментов и соблюдение диеты, чтобы избежать осложнений.
СОВЕТ №3
Если вы испытываете сильный дискомфорт или боль после визита, не стесняйтесь обратиться к стоматологу для консультации. Возможно, потребуется дополнительное лечение или корректировка назначений.
СОВЕТ №4
Регулярно посещайте стоматолога для профилактических осмотров. Это поможет выявить проблемы на ранних стадиях и снизит риск неприятных последствий после лечения.