Кровотечение всегда свидетельствует о повреждении сосудистой стенки. В некоторых случаях оно неопасно, в других – представляет угрозу для жизни и здоровья. С кровотечениями люди сталкиваются часто. В большинстве случаев при травмах, порезах, лечении зубов. Подобные ситуации считаются привычными и не вызывают паники. Совсем другое — это кровь изо рта. Подобный симптом может свидетельствовать о множестве тяжелых заболеваний. Среди них – рак легкого, туберкулез, язва желудка и т. д. При появлении даже небольшого количества крови следует обратиться к врачу немедленно. Не стоит паниковать в подобной ситуации, так как это может лишь ухудшить состояние больного. Также нельзя приступать к каким-то манипуляциям самостоятельно. Выяснить причину данного симптома и помочь человеку сможет только специалист.
Разновидности кровотечений изо рта
Кровь изо рта не всегда связана с болезнями легких, как думают многие. Существует множество различных факторов, приводящих к развитию этого симптома. В зависимости от источника повреждения, выделяют:
- Кровотечение из полости рта. Оно связано с повреждением слизистых оболочек, десен.
- Кровотечение из дыхательных путей. Считается самым опасным и часто приводит к гибели больных. Стоит отличать его от кровохарканья. Этот симптом наблюдается при туберкулезе и опухолевых заболеваниях бронхолегочной системы. Он характеризуется выделением до 50 мл крови при кашле. Несмотря на то, что данный симптом менее опасен, при его развитии тоже стоит срочно обратиться к врачу.
- Кровотечение из внутренних органов. Имеется в виду желудок и пищевод. При повреждении сосудов в этих органах кровь попадает в глотку, а затем – в полость рта.
Симптом может быть единственным признаком патологии или сочетаться с другими патологическими реакциями. Среди них – кашель и рвота. В зависимости от источника повреждения, выделяют венозные, артериальные и капиллярные кровотечения. Иногда нарушается целостность сразу нескольких сосудов.
Кровь изо рта: причины возникновения
К причинам возникновения крови во рту могут относиться как незначительные повреждения слизистых оболочек, так и серьезные заболевания органов дыхательной и пищеварительной системы. Чтобы выявить этиологию, доктора обращают внимание на сопутствующие клинические проявления, а также выясняют факторы, предшествующие возникновению симптома. Вследствие чего может появиться кровь изо рта? Причины развития симптома могут быть следующими:
- Туберкулез легких. Данное заболевание известно с давних времен. Раньше туберкулез диагностировали слишком поздно, при этом основным признаком патологии было кровохарканье. В настоящее время подобный симптом при своевременном лечении развивается редко.
- Рак легкого. Эта патология распространена среди курящих людей пожилого возраста. В большинстве случаев рак диагностируют у мужчин.
- Повреждение слизистых оболочек рта.
- Язвенная болезнь желудка.
- Повреждение слизистой оболочки пищевода.
- Осложнение цирроза печени.
- Онкологические заболевания полости рта.
- Отравление различными химическими веществами (кислоты, щелочи).
- Синдром Маллори — Вейсса. Развивается у больных, страдающих алкоголизмом.
- Патологии крови (гемофилия, тромбоцитопеническая пурпура).
Кровь из горла может появиться при воспалительных заболеваниях миндалин, рото- и носоглотки. Иногда данный симптом свидетельствует о хроническом заболевании десен.
Повреждение слизистых оболочек
При различных заболеваниях механизм развития симптома в большинстве случаев ясен. Но почему изо рта идет кровь у здорового человека? В большинстве случаев это связано с повреждением поверхности слизистой оболочки. Незначительное капиллярное кровотечение возникает при прикусывании внутренней поверхности щек, языка, губ. Симптом часто развивается после проведения стоматологических манипуляций. В большинстве случаев подобным образом появляется кровь изо рта у ребенка. Дети часто прикусывают губу и щеки после анестезии, так как ткани теряют чувствительность.
При сильном воспалении миндалин кровь часто определяется при промывании горла. Также красные прожилки в мокроте иногда отмечаются у больных фарингитом. Подобный симптом свидетельствует о незначительном повреждении сосудов глотки. Подобные патологии не сопровождаются опасными кровотечениями. Тем не менее рекомендуется провериться. Кровь из горла может указывать на онкологические заболевания ротовой полости. Повреждение десен тоже бывает опасным. В некоторых случаях оно свидетельствует о развитии таких болезней, как тромбоцитопеническая пурпура, гемофилия или цинга.
Кровотечение при патологии легких
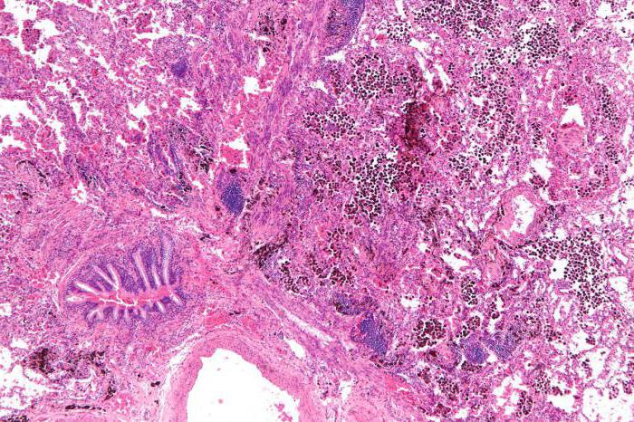
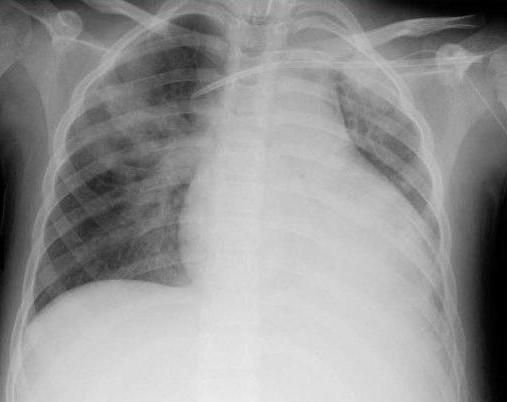
К наиболее часто встречающимся легочным патологиям, которые осложняются кровотечением, относят туберкулез, рак и бронхоэктатическую болезнь. Все эти недуги очень опасны и требуют длительного лечения в специализированных учреждениях. Легочное кровотечение свидетельствует о прогрессирующем кавернозном туберкулезе. Зачастую оно возникает на фоне приступа кашля.
При раке легкого кровотечение свидетельствует о распаде опухоли и повреждении сосудов. Остановить его бывает очень сложно. Особо опасно профузное кровотечение, при котором выделяется 500 мл биологической жидкости. Подобный симптом может закончиться летальным исходом. Помимо того что идет кровь изо рта, пациенты жалуются на затруднение дыхания, кашель, потерю веса.
Бронхоэктатическая болезнь относится к прогрессирующим деструктивно-воспалительным патологиям легких. Она характеризуется постоянным кашлем с отделением гнойной мокроты и отдышкой. Диагностируется в детском или молодом возрасте. При выраженном повреждении бронхов может осложниться нарушением целостности сосудов.
Признаки желудочно-кишечного кровотечения
Если изо рта идет кровь, то это может быть симптомом болезней пищеварительной системы. Наиболее часто встречающимися из них считаются цирроз печени и язва желудка. В первом случае источником кровотечения являются расширенные вены пищевода, во втором – сосуды стенки желудка. Заболевания пищеварительного тракта имеют характерные особенности. Кровь при этих патологиях будет иметь темный цвет. Зачастую она возникает во время рвоты. Помимо этого наблюдается выраженная боль в верхних отделах живота, тошнота, ухудшение самочувствия. В некоторых случаях из пищеварительного тракта в полость рта попадает алая кровь. Это может свидетельствовать о развитии синдрома Маллори — Вейсса, который заключается в линейном разрыве поверхностных сосудов слизистой оболочки желудка. К другим причинам кровотечения относят полипы, острый эрозивный гастрит и эзофагит. Независимо от источника повреждения, помощь необходимо оказать немедленно.
Кровотечение при раке легких: особенности
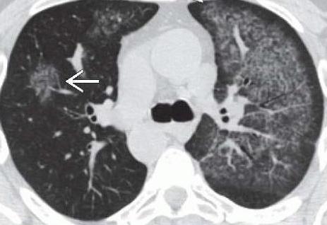
Рак легкого считается одной из самых распространенных онкологических патологий среди мужчин. В большинстве случаев он развивается на фоне хронических воспалительных болезней дыхательной системы. Главным фактором риска считается злоупотребление табакокурением на протяжении долгих лет. Источником кровотечения при раке являются поврежденные сосуды или сама опухоль, находящаяся в фазе распада.
Признаками заболевания является длительный сухой кашель, не поддающийся лечению. Через несколько месяцев присоединяется кровохарканье. Помимо этого отмечается лихорадка, выраженная слабость, одышка и потеря веса. Кровотечение может иметь различный объем: от малого (50-100 мл) до профузного (более 0,5 литра). В большинстве случаев оно сопровождается кашлем. При этом имеется высокий риск аспирации и развития геморрагического шока.
Диагностика при кровотечении изо рта
Если у человека появилась кровь изо рта, необходимо срочно вызвать скорую помощь. Для выявления причины данного симптома врач должен выяснить у родственников, какие заболевания или жалобы имелись у пациента ранее. При подозрении на кровотечение из пищеварительного тракта проводится ФГДС. Если источник повреждения находится в легких, в стационаре выполняют бронхоскопию. Также требуется рентгенография грудной клетки и брюшной полости. Для определения степени кровопотери проверяют уровень гемоглобина и эритроцитов. Также требуется коагулограмма. Она нужна для исключения патологий крови.
Тактика на догоспитальном этапе
До приезда скорой помощи следует попытаться успокоить больного и приложить что-нибудь холодное к предполагаемому источнику кровотечения (верхний отдел живота или грудная клетка). Если симптом выражен не сильно, можно дать пациенту проглотить кусочки льда или мороженого. Если источник кровотечения находится в полости рта, следует промыть рану и приложить холод. Дальнейшие мероприятия выполняет врач.
Помощь при кровотечении в стационаре
Когда у человека начинает идти кровь из носа и кровь изо рта, естественно, что его первая реакция — страх и желание выяснить, почему так происходит. Кровь из носа и кровь изо рта причины имеет весьма разнообразные, однако чаще всего это симптомы тяжелых и опасных заболеваний, запущенное состояние которых может привести к непоправимым последствиям. По этой причине желательно обращаться к специалисту сразу же, как только появляются кровотечения из носа либо рта.
Причины кровотечений изо рта и носа
Обычно причинами носового течения крови принято считать следующие клинические проявления:
- повышение АД (артериального давления) — обычно встречается у людей в пожилом возрасте и является проявлением патологии, однако если подобные состояния наблюдаются у лиц, не достигших даже отметки в тридцать лет, стоит обратиться к врачу;
- наличие полипов в носу — в таких случаях обычно кровотечение начинается утром и повторяется несколько раз в течение дня. Полипы удаляются путем хирургического вмешательства;
- опухоль надпочечников (феохромоцитома) способствует выработке гормонов стресса в огромных количествах, с которыми организм не может самостоятельно справиться;
- частое употребление наркотиков, а именно — кокаина;
- постоянные стрессы и переутомления организма — в таких случаях стенки сосудов становятся слишком тонкими и лопаются при любом физическом либо механическом воздействии на них;
- воспаление носоглотки;
- длительное нахождение на солнце, из-за чего наступает перегрев организма;
- анатомические повреждения носа;
- дисбаланс гормонального фона организма.
Обычно кровь из носа не вызывает таких серьезных опасений, как кровь, что идет изо рта. В подобных случаях не стоит поддаваться панике: напротив, следует изучить (а впоследствии и выявить) причины, по которым могла появиться данная патология.
Главными причинами ротового кровотечения обычно являются:
- развитие туберкулеза;
- онкоболезни внутренних органов и тканей (языка, слизистых рта, глотки, легких, желудка);
- язвенные болезни желудка;
- патологические состояния десен.
Наибольшей опасности подвержены те пациенты, у которых найден один из первых трех диагнозов. Кровоточивость десен же лечится стоматологами в краткие сроки, если она не имеет сложной этиологии. Чтобы ее предупредить, достаточно профилактических осмотров раз в полгода.
Кровь из носа: первая помощь
Если пошло кровотечение из носа, необходимо принять следующие меры:
- Усадить человека в положении полулежа так, чтобы его голова находилась выше туловища.
- Попросить человека наклонить голову несколько вперед — это защитит его от попадания крови в носоглотку и полость рта.
- Запретить сморкаться при течении крови и после ее остановки (подобное действие может еще в большей степени травмировать сосуды).
- Заложить ходы носа тампонами из ваты, смоченными перекисью водорода или Нафтизином (размер ваточного кокона зависит от возраста пациента — естественно, для детей размер тампона меньше).
- Охлаждать затылочную область и область переносицы в течение получаса (например, грелкой или спецпакетом со льдом).
Иногда возможно применение народных рецептов (это может быть сок тысячелистника либо лимона), но применять подобные средства стоит с осторожностью.
Кровь изо рта: куда обратиться
Если кровь пошла изо рта, важно сделать следующие шаги:
- Вызвать скорую помощь.
- До приезда врачей попытаться определить, что стало причиной появления крови изо рта (вполне вероятно, были повреждения слизистой рта или глотки).
- Заставить человека лечь и дать ему проглотить несколько кусочков льда, если генетический материал выходит массой, подобной кофейной гуще.
- При сопровождающем выход крови кашле близкие должны пациента обездвижить (усадить или уложить) и подавать ему кусочки льда либо мелкие порции воды, обязательно охлажденной.
Не стоит пренебрегать своим здоровьем и отказываться от вызова скорой помощи. Особенно это касается случаев, когда кровь хлынула изо рта. Забота о собственном здоровье и заключается в проведении полного обследования в моменты, когда подобные ситуации возникают слишком часто.
Не стоит откладывать выяснение настоящих причин появления крови в больших количествах изо рта или носа, достаточно прибыть к специалисту на прием, чтобы получить квалифицированную помощь своевременно.
Появление крови во рту может стать тревожным сигналом, предвещающим опасность, особенно в случаях спонтанного кровотечения без четкой этиологии. Кровотечение при кашле или рвоте указывает на наиболее вероятный источник поражения – дыхательные пути, не исключается нарушение работы желудочно-кишечного тракта и т.д.
С подобной проблемой сталкиваются люди во время чистки зубов, при получении травм, при наличии заболеваний ротовой полости, но более негативный окрас имеют проблемы с внутренними органами. Когда у здорового человека вместе со слюной выходит кровь, то это повод обратиться за помощью к специалисту, который проведет осмотр, выяснив причину недуга.
Виды кровотечения изо рта
Нередко из ротовой полости или из носа идет кровь из-за повреждений, носящих механический характер. Например, в следствие травм, являющихся следствием удара или пореза, развития патологий и болезней. В зависимости от происхождения кровотечения существует три его вида, которым характерно выделение кровяного сгустка изо рта:
- повреждение внутренних органов,
- травмирование ротовой полости,
- поражение дыхательных путей.
Кровь может быть представлена не только в обычном виде, но и способна проявляться в качестве капелек, выходящих вместе со слюной или рвотными массами.
Предусматриваются такие разновидности:
- Обильное кровотечение со сгустками крови является причиной повреждения капилляров слизистой носа, подвергшихся разрыву из-за высокого давления. Поскольку человек находится в лежачем состоянии, то кровяные сгустки вытекают наружу не сразу, они накапливаются во рту. Просыпаясь утром, больной чувствует привкус крови, скопившейся из-за инфекций носоглотки. Этим инфекционным заболеваниям свойственно преобразовываться из обычной стадии в хроническую, что лишь негативно влияет на образование сосредоточения кровяных масс в ротовой полости. Когда наблюдается выделение крови большими кусками, то это произошло из-за разорвавшегося сосуда в горле. Испытываете ли волнение перед визитом к стоматологу?
- Слюна розового цвета появляется при сплевывании после пробуждения, это объясняется невыполнением правил, обязательно осуществляемых во время утренней процедуры. Из-за не поддержания гигиены, в ротовую полость попадают инфекции, провоцирующие кровоточивость десен. Она не останавливается во время сна, за счет чего через какое-то время в большом количестве скапливается кровь. Когда при ночном отдыхе рот приоткрывается, то из него может вытечь кровяной сгусток, попадающий в последствии на подушку. Миндалины являются распространенным источником кровотечения, в зоне их местонахождения капилляры лопаются по причине перенапряжения.
- Привкус крови во рту становится неприятным, когда организм испытывает нехватку жидкости. Подобная ситуация характерна для астматиков, диабетиков и тех, кто недавно находился под общим наркозом. Нередко причинами привкуса крови оказываются металлические протезы или коронки, устанавливающиеся на зубы. Данное явление возникает также при отравлении из-за злоупотребления алкоголем, при приеме антибиотиков, БАДов и т.д. Нарушение процесса обмена веществ или сбой в гормональной системе ничего хорошего не сулят, они способны вызвать дискомфорт во рту. Во время ночного отдыха желудочный сок движется по направлению к ротовой полости, чувствуется и привкус крови, подобная ситуация часто появляется при рефлюксе.
Причины кровотечения в полости рта
Для определения наиболее вероятной причины, поступающей крови изо рта, требуется рассмотреть предшествующие этому явлению факторы. К ним относятся:
- стоматологические процедуры,
- последствия операций на голове или шее (рот, нос, носовые пазухи, глотка, миндалины, гортань),
- травмы головы и шеи.
Если же ничего из перечисленного не зафиксировано, то пациент нуждается в дальнейшей диагностике, необходимой для быстрого и точного определения пораженной области.
К возможным причинам кровотечения причисляют такие заболевания как пародонтит, стоматит, гингивит, провоцирующих воспалительный процесс, распространяющийся на десна или зубы. Поскольку слизистая теряет первоначальные защитные свойства, то она становится очень чувствительной. Из-за этого кровяные сгустки увеличиваются, особенно при чистке зубов щеткой или специальной ниткой.
Не так часто встречаются случаи нарушения функциональности желудка и легких, но при наличии таких заболеваний, важно обратить внимание на цвет крови.
Если наблюдается насыщенный темно-красный цвет, то это свидетельствует о вероятной злокачественной опухоли в ЖКТ, а ярко-красный – указывает на развитие язвы.
Детально рассмотрим несколько из распространенных причин, по чьей вине может возникнуть кровотечение в полости рта. Сюда включаются:
- получение травмы лица – это травматический способ, появляется при механических при нарушении целостности тканей организма из-за негативных внешних факторов как порез или удар,
- заболевания ротовой полости, например, стоматит – воспаление, возникшее вследствие механической или химической травмы. Относится также кариес зубов, гингивит, пародонтит, кровотечение афтозные язвы, инфекции подобные герпесу, цитомегаловирусу, вирусной геморрагической лихорадке,
- заболевания ЖКТ характеризуются образование язв двенадцатиперстной кишки или желудка, последняя стадия цирроза печени, развитие эрозии слизистой оболочки желудка или пищевода,
- пульмонологические болезни поражают бронхи, трахеи, плевру и гортань. Из-за отрицательного воздействия на горло может возникнуть воспаление, а в список негативных факторов входят инфекции тонзиллит или фарингит, химическая травма длительных коррозионных веществ, аллергия, абсцесс, опухоли.
Что делать при появлении крови во рту?
При небольших кровяных выделениях, проявляющихся во время чистки зубов, то можно попробовать заменить нынешнюю щетку на новую с меньшим уровнем жесткости. Нужно стараться более аккуратно проводить гигиеническую процедуры и слишком не переусердствовать с очищением. Не будет лишней покупка средств по уходу таких как скребок для языка и нитка, хорошо чистящая зоны между зубов и удаляющая пищевые остатки.
Если замечено сильное кровотечение, настоятельно рекомендуется обратиться к врачу для проведения диагностики, которая выявит беспокоящую человека проблему. При игнорировании необходимых требований для устранения кровяных сгустков, есть риск не уследить за развивающимся недугом в виде зубного камня или появление ранок, оставляемых протезом.
Когда кровь пошла по непонятной причине или из-за травмы, больной должен находится полусидя. Если прослеживаются признаки кровотечения легких, то сначала следует выпить несколько мелких глотков холодной воды, затем позвонить в скорую помощь.
Безотлагательный визит в больницу предусматривается, когда пациент страдает от хронических заболеваний, сопровождающиеся кровотечением из ротовой полости. В этой ситуации нужно отказаться от самолечения, а незамедлительно записаться к врачу.
Профилактические меры
Небольшие кровяные выделения, например, из десен, нестрашны, поэтому в домашних условиях их легко предотвратить. Достаточно следовать рекомендациям и гарантированно избавитесь от указанного недуга.
Профилактика состоит из ряда таких действий:
- периодическое посещение стоматолога,
- ежедневная гигиена полости рта с помощью качественной щетки и пасты,
- составление рациона, включающего здоровое питание,
- отказ от вредных привычек.
Когда установленные правила не нарушаются, то не придется наблюдать кровоточивость десен. Для людей, страдающих от этого недуга, необходимо задействовать методики чистки зубов, которые следует узнать у специалиста.







 


 
 
 
 
							
							
						 
							 
 
