Очаги в лёгких на КТ – это локальные участки, на которых снижена прозрачность лёгочной ткани. Это могут быть участки затемнения или уплотнения разных размеров, которые обнаруживают при проведении компьютерной томографии. Причиной этого патологического явления могут быть разные заболевания дыхательных органов. Несмотря на то, что КТ является одним из самых точных методов диагностики, поставить диагноз только по её результатам нельзя. Больной должен сдать ряд анализов, которые включают анализы крови и мокроты.
Особенности компьютерной томографии
При подозрении на патологии нижних дыхательных органов врач направляет пациента на рентген, сдачу анализов и компьютерную томографию. Все эти методы помогают выявить изменения в лёгочной ткани и поставить точный диагноз.
Достоинства перед иными методами обследования можно выделить такими пунктами:
- За короткое время и с максимальной точностью удаётся определить, что же стало причиной заболевания. Очаги в лёгких на КТ хорошо просматриваются, врачу удаётся определить их локализацию и структуру.
- За счёт такого вида обследования удаётся определить, на какой именно стадии находится болезнь.
- Помогает дать точную оценку состояния лёгочной ткани. Определяется её плотность и состояние альвеол, кроме этого, производится измерение объёма дыхательных органов.
- Благодаря КТ можно проанализировать состояние даже мельчайших сосудиков, расположенных в лёгких, а также оценить аорту, сердце, полую вену, трахеи, бронхи и лимфоузлов, которые расположены в грудной клетке.
Такое исследование помогает рассмотреть все сегменты в лёгких, за счёт чего есть возможность достоверно определить, где именно локализован патологический очаг.
Томография проводится в медицинских центрах и стоимость на неё достаточно высокая. Однако если необходимо уточнить диагноз, эта процедура просто незаменима.
Очаговые изменения
Очаговые изменения в лёгких могут быть разного размера. Очаги мелкого диаметра 1-10 мм выявляются при различных диффузных патологиях лёгочной ткани. Очаги с высокой плотностью и довольно чётки краями в основном наблюдаются в интерстиции лёгкого. Различные очаги низкой плотности, напоминающие матовое стекло, с нечёткими контурами возникают при патологических изменениях в респираторных отделах дыхательных органов.
Нужно учитывать, что плотность и размер очагов имеет слабое диагностическое значение. Для постановки диагноза более важным может быть распределение патологических процессов в лёгочной ткани:
- Перилимфатический очаг – часто наблюдается в бронхах, сосудах, в междольковых перегородках и листках плевры. В таком случае видны неровные контуры анатомических структур, при этом перегородочки и стенки бронхов несколько утолщены, как и стенки сосудов. Подобные патологические изменения часто встречаются при туберкулёзе, силикозе, саркоидозе и карциноматозе. При этих патологиях очаги небольшие и не превышают 2-5 мм. Состоят такие очаги из гранулем или метастатических узелочков, они наблюдаются вдоль лимфатических узелков в ткани лёгких и плевре.
- Полиморфный очаг. Такие очаговые образования в ткани лёгких возникают при туберкулёзе. В этом случае КТ позволяет увидеть участки разной плотности и размеров. В некоторых случаях такая картина наблюдается при онкологических патологиях.
- Центрилобулярные очаги. Наблюдаются в артериях и бронхах или в непосредственной близости от них. Они могут быть довольно плотными, хорошо очерченными и однородными. Изменения лёгочной ткани такого типа наблюдаются при пневмониях, эндобронхиальном туберкулёзе и разных видах бронхита, преимущественно бактериального происхождения. Есть и другой тип центрилобулярных очагов, в этом случае лёгочная ткань имеет мелкие уплотнения и похожа на матовое стекло.
- Периваскулярные очаги – это патологические образования, которые находятся в непосредственной близости от кровеносных сосудов. Такое состояние наблюдается при онкологических патологиях и туберкулёзе. Очаги могут быть как единичные, так и множественные.
- Хаотично расположенные очаги. Такие образования характерны для патологических гематогенных процессов. Это может быть гематогенная инфекция, туберкулёз или метастазы гематогенного типа. Большие множественные очаги, размером около 10 мм, частенько наблюдаются при септических эмболиях, гранулематозе, грибковых инфекциях и метастазах. Все эти заболевания имеют некоторые отличия, по которым их можно дифференцировать.
- Субплевральные очаги – это патологически изменённые участки, расположенные под плеврой. Наблюдение таких участков на снимке всегда говорит о развитии туберкулёза или онкологических заболеваний.
- Плевральные очаги. Такие патологические образования расположены на плевре. Наблюдаются при воспалительных и инфекционных патологиях нижних дыхательных органов.
- Апикальный очаг представляет собой чрезмерное разрастание фиброзной ткани, которая со временем замещает здоровые клеточки.
- Лимфогенный карциноматоз. Это понятие включает два типа патологических изменений в лёгких. С правой стороны наблюдается альвеолярная инфильтрация, с видимыми просветами бронхов. С левой стороны плотность лёгочной ткани несколько повышена. В зоне уплотнения наблюдаются стенки бронхов и сосудиков.
При очаговых заболеваниях участки патологически изменённой ткани могут быть разными по размерам. Они могут быть мелкими, размером не более 2 мм, средними – диаметром до 5 мм и крупными, размер последних превышает 10 мм.
Патологические очаги бывают плотными, средней плотности, а также рыхлыми. Если в лёгких наблюдаются единичные уплотнения, то это может быть как возрастным изменением, которое не представляет опасности для человека, так и опасным заболеванием. Если наблюдаются множественные очаги, то здесь речь идёт о воспалении лёгких, туберкулёзе или редких формах онкологических заболеваний.
При попадании в лёгкие микобактерий туберкулёза развивается первичный очаг, который на снимке очень напоминает пневмонию. Однако отличие в том, что воспалительный процесс может длиться очень долго, иногда даже годами.
Чем опасны очаговые изменения
Очаговые изменения в лёгочной ткани почти всегда говорят о патологическом процессе. В большинстве случаев врачи направляют пациентов на КТ в том случае, если рентгенограмма не помогла правильно поставить диагноз. Обычно диагноз предварительно уже поставлен и результатами томографии он только подтверждается.
Минусы томографии
У компьютерной томографии есть и слабые стороны. Так, этот метод не всегда позволяет увидеть очаговые изменения, размер которых меньше 5 мм и плотность тканей низкая. Если диаметр очага не превышает 0,5 см, то шанс обнаружить его составляет около 50%. При размере измененного участка около 10 мм шанс увидеть его приравнивается к 95%.
В заключении медработники указывают вероятность развития того или иного заболевания. Локализация патологически изменённой ткани роли не играет, а вот на контуры обращают пристальное внимание. Если они нечётки и очаги более 1 см, то это всегда говорит о злокачественном процессе. При чётких краях можно говорить о туберкулёзе или же новообразованиях доброкачественного характера.
Томографию не рекомендуется проводить беременным женщинам, так как есть риск пагубного влияния на плод.
Если у врача есть сомнения при постановке диагноза, он может направить больного на компьютерную томографию. Этот метод исследования довольно точный, но даже при помощи КТ не всегда можно увидеть небольшие очаговые изменения в лёгких.
Дата обновления: 2019-12-30
Очаги в легких — это самостоятельный клинический диагноз. Данное заболевание не дает о себе знать и в подавляющем большинстве случаев никак не проявляется. Выявляют очаги в легочной ткани чаще всего случайно при прохождении стандартных профилактических процедур и рентгенологического исследования.
Очаги в легких: описание и способы выявления
Одиночный очаг в легких представляет собой локализованный участок повышенной уплотненности, который имеет круглую или овальную форму и в диаметре достигает 30 миллиметров. Причины возникновения таких уплотнений могут быть различными и для их установления недостаточно осмотра у доктора и рентгена. Для того чтобы поставить точный, достоверный диагноз, придется провести ряд важных исследований (биохимический анализ крови, мокроты, а также пункция легочных тканей).
Бытует распространенное мнение, что фактором, провоцирующим возникновение очагов в легких, является исключительно туберкулез, но это неверно.
Именно поэтому при постановке диагноза необходимо использовать результаты лабораторных исследований крови и мокроты. Даже если врач уверен, что пациент страдает от очаговой пневмонии, результаты анализов помогут выявить возбудителя заболевания и устранить его с помощью индивидуально подобранной схемы лечения.
Иногда люди не спешат сдавать диагностические анализы из-за удаленности лаборатории от места жительства. Пренебрегать лабораторными исследованиями крайне нежелательно, так как без лечения очаг в легких начинает носить вторичный характер.
Особенности очагов с точки зрения анатомии
Анатомически одиночные легочные очаги являют собой измененные участки легочной ткани или патологическое наличие в ней жидкости (кровь или мокрота).
Следует отметить, что критерии в международной и отечественной классификации легочных очагов различаются. Зарубежная медицина признает одиночными очагами в легких образования, достигающие 3 сантиметров. В Российской Федерации очаги в легочной ткани диагностируются в случае, если они не превышают в диаметре 10 миллиметров. Все, что имеет большие размеры, относится к инфильтратам или туберкуломам.
Проблема достоверной диагностики и классификации очагов в легких является одной из важнейших в медицине
Если верить статистическим данным, то от 60 до 70 процентов повторно возникших после лечения одиночных очагов в легочной ткани являются злокачественными образованиями. Именно поэтому очень большое внимание уделяется разработке новых диагностических методов в данном направлении.
Несмотря на достоверность результатов перечисленных исследований, до сих пор не существует единообразного алгоритма постановки диагноза при обнаружении очагов в легочных тканях. Каждый случай болезни индивидуален и должен рассматриваться в отдельности от общей практики.
Одиночные очаги в легких: возможности лучевой диагностики
Правильная диагностика и постановка верного диагноза очень важна при обнаружении в легких одиночных очагов. Лучевая диагностика в этих случаях оказывает помощь, которую трудно переоценить.
Основные задачи лучевой диагностики очагов в легких:
- С помощью этих методов удается выявить природу происхождения очагов в легких и определить, являются они злокачественными или доброкачественными.
- Лучевая диагностика позволяет достоверно определить форму туберкулеза при его обнаружении.
Однако с помощью рентгенографии и флюорографии крайне сложно увидеть одиночные образования, диаметр которых составляет менее 1 см. Кроме того, из-за различных структур, которые анатомически расположены в грудине, иногда невозможно различить и масштабные очаги в легких. Поэтому при диагностике большее предпочтение отдается компьютерной томографии. Она дает возможность рассмотреть легочные ткани под разным углом и даже в разрезе. Таким образом исключается вероятность того, что одиночные образования будут неразличимы за сердечной мышцей, ребрами или корнем легкого.
Компьютерная томография — уникальный диагностический метод, который может обнаружить не только очаги, но и пневмонию, эмфизему и другие патологические состояния легких. Но необходимо помнить, что даже у этого метода диагностики есть свои недостатки. Так, примерно в 50 % случаев первичного исследования на фото не обнаруживаются новообразования диаметром менее 5 миллиметров. Это объясняется такими сложностями, как нахождение очагов в центре легкого, мелкие размеры образований или слишком малая их плотность.
Если же образование превышает в диаметре 1 сантиметр, то точность диагностики при компьютерной томографии достигает 95 процентов.
Туберкулез в цифрах и фактах
Туберкулез остается весьма распространенной болезнью, несмотря на то, что на борьбу с ней ежегодно выделяются огромные средства и проводятся масштабные исследования.
Наиболее интересные факты о туберкулезе:
- Возбудителем заболевания является палочка Коха или микобактерия, которая быстро передается при кашле или чихании, то есть воздушно-капельным путем.
- С мокротой в воздух один больной туберкулезом выделяет от 15 000 000 до 7 000 000 000 микобактерий. Они распространяются в радиусе 1-7 метров.
- Палочка Коха способна выжить даже при отрицательных температурах (до -269 градусов по Цельсию). В высохшем виде во внешней среде микобактерия сохраняет жизнеспособность до четырех месяцев. В молочных продуктах палочка живет до одного года, а в книгах — полгода.
- Микобактерия очень быстро приспосабливается к антибиотикам. Практически в каждом государстве выявлена разновидность туберкулиновой палочки, которая не чувствительна к существующим лекарственным препаратам.
- 1/3 населения планеты являются носителями туберкулезной палочки, но только 10 процентов из них перенесли активную форму заболевания.
Важно помнить, что, переболев один раз туберкулезом, человек не приобретает пожизненного иммунитета и может перенести заболевание еще раз.
Всемирный день борьбы с данной болезнью отмечают 24 марта.
Полезны ли медицинские маски
Ученые из Австралии провели ряд научных исследований и достоверно установили, что медицинские маски практически не защищают от вирусов и бактерий, которые передаются воздушно-капельным путем. Более того, их категорически нельзя использовать в условиях, когда риск заражения высок (постоянная работа в отделении реанимации, туберкулез).
В развитых странах персонал больниц использует специальные респираторы, которые эффективно задерживают частицы воздуха, содержащие вирусы и бактерии.
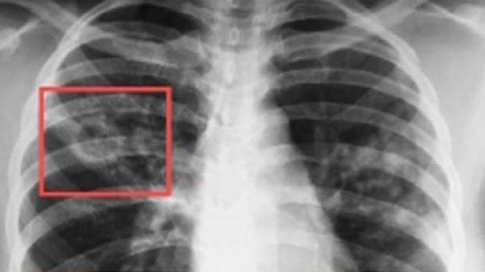
Единичные очаги в легких на КТ: субплевральные сегменты, ОГК
С помощью компьютерной томографии осуществляется классификация очагов в легких. Также с ее помощью можно выявить, единичный или множественный очаг затронул легкое, а также предположить наиболее адекватное лечение. Эта диагностическая процедура — одна из самым достоверных на сегодняшний день. Ее принцип заключается в том, что на ткани организма человека воздействуют рентгеновские лучи, а потом дается заключение на основании этого исследования.
Если возникают подозрения на какое-либо заболевание легких доктор направляет пациента на КТ ОГК (органов грудной клетки). На ней отлично просматриваются все сегменты этой части тела.
В зависимости от месторасположения очаги подразделяются на две категории:
- Субплевральные очаги в легких, расположенные под плеврой — тонкой оболочкой, в которую заключены легкие. Эта локализация характерна для проявления туберкулеза или злокачественных опухолей.
- Плевральные очаги.
С помощью компьютерной томографии хорошо просматривается апикальный очаг в любом сегменте легкого. Эта разновидность очагов представляет собой разрастание фиброзной ткани и замещение ею здоровых клеток. Периваскулярный фиброзный очаг расположен около кровеносных сосудов, которые обеспечивают его питание и рост.
Очаги в лёгких на КТ: классификация образований
Для точного диагностирования очень важно изучить очаги в легких с помощью КТ. Классификация образований позволяет понять, как их следует лечить.
В зависимости от размеров образования в легких делятся на:
- мелкие (от 0,1 до 0,2 см);
- среднего размера (0,3-0,5 см);
- крупные очаги (до 1 сантиметра).
Исходя из плотности:
- не плотный;
- средне-плотный;
- плотный.
По численности:
- полиморфные очаги в легких — множественные образования, имеющие разную плотность и различные размеры. Полиморфизм очагов характерен для туберкулеза или пневмонии;
- единичные очаги.
Если очаги находятся в плевре, то они называются плевральными, субплевральный очаг расположен около нее.
Таким образом, ответ на вопрос о том, очаговое поражение легких, что же это такое, получен. Необходимо помнить о том, что для исключения каких-либо заболеваний в легких, нельзя пренебрегать такой простой процедурой, как ежегодная флюорография. Она занимает считаные минуты и способна на ранних этапах выявить какие-либо патологии в легких.
Очаговые образования в легких представляют собой уплотнения тканей, причиной которого могут выступать различные недуги. Причем для установки точного диагноза осмотра врача и рентгенографии оказывается недостаточно. Окончательный вывод можно сделать только на основе специфических методов обследования, подразумевающих сдачу анализа крови, мокроты, пункцию тканей.
Важно: мнение о том, что причиной множественного очагового поражения легких может выступать только туберкулез – является ошибочным.
Речь может идти о:
- злокачественных новообразованиях;
- пневмонии;
- нарушениях обмена жидкости в дыхательной системе.
Поэтому постановке диагноза должно предшествовать тщательное обследование пациента. Даже если врач уверен, что у человека очаговая пневмония, произвести анализ мокроты необходимо. Это позволит выявить патоген, что стал причиной развития недуга.
Сейчас некоторые пациенты отказываются от сдачи некоторых специфических анализов. Причиной этого может быть нежелание или отсутствие возможности посетить клинику из-за ее удаленности от места проживания, отсутствие средств. Если этого не сделать, то присутствует большая вероятность, что очаговая пневмония перейдет в хроническую форму.
Что собой представляют очаги и как их выявить?
Сейчас очаговые образования в легких делят на несколько категорий исходя из их количества:
- Одиночные.
- Единичные – до 6 штук.
- Множественные – синдром диссеминации.
Присутствует разница между международно принятым определением того, что такое очаги в легких, и тем, что принято в нашей стране. За рубежом под данным термином понимают наличие участков уплотнения в легких округлой формы и диаметром не более 3 см. Отечественная практика ограничивает размер 1 см, а остальные образования относит к инфильтратам, туберкуломам.
Важно: компьютерный осмотр, в частности томография, позволят с высокой точностью определить размер и форму поражения легочной ткани. Однако необходимо понимать, что и у этого метода обследования есть свой порог погрешности.
Фактически, очаговое образование в легком представляет собой дегенеративное изменение легочной ткани или скапливание в ней жидкости (мокроты, крови). Правильная характеристика одиночных очагов легких (ООЛ) – это одна из важнейших проблем современной медицины.
Важность задачи заключается в том, что 60-70% из вылеченных, но потом вновь появившихся таких образований, – злокачественные опухоли. Среди общего количества выявленных ООЛ при прохождении МРТ, КТ или рентгенографии их часть составляет менее 50%.
Важную роль здесь играет то, как характеризуются очаги в легких на КТ. С помощью этого вида обследования, основываясь на характерных симптомах, врач может выдвигать предположения о наличии таких серьезных заболеваний, как туберкулез или злокачественные новообразования.
Однако для уточнения диагноза необходимо сдать дополнительные анализы. Аппаратного обследования для выдачи медицинского заключения недостаточно. До сих пор повседневная клиническая практика не имеет единого алгоритма проведения дифференциальной диагностики для всех возможных ситуаций. Поэтому врач каждый случай рассматривает в отдельности.
Туберкулез или воспаление легких? Что может помешать, при современном уровне медицины, произвести точную диагностику аппаратным методом? Ответ прост – несовершенство оборудования.
На самом деле, при прохождении флюорографии или рентгенографии сложно выявить ООЛ, размер которого меньше 1 см. Интерпозиция анатомических структур может сделать практически невидимыми и более крупные очаги.
Поэтому большинство врачей советует пациентам отдать предпочтение компьютерной томографии, которая дает возможность рассмотреть ткани в разрезе и под любым углом. Это полностью устраняет вероятность того, что поражение будет закрыто сердечной тенью, ребрами или корнями легких. То есть рассмотреть всю картину в целом и без вероятности фатальной ошибки рентгенография и флюорография попросту не может.
Следует учитывать, что компьютерная томография позволяет выявить не только ООЛ, но и другие виды патологий, такие как эмфиземы, пневмонии. Однако и у этого метода обследования есть свои слабые места. Даже при прохождении компьютерной томографии могут быть пропущены очаговые образования.
Это имеет следующие объяснения низкой чувствительности аппарата:
- Патология находится в центральной зоне – 61%.
- Размер до 0,5 см – 72%.
- Маленькая плотность тканей – 65%.
Установлено, что при первичном скрининговом КТ вероятность пропустить патологическое изменение тканей, размер которого не превышает 5 мм, составляет около 50%.
Если же диаметр очага более 1 см, то чувствительность аппарата составляет более 95%. Для увеличения точности получаемых данных используют дополнительное программное обеспечение для получения 3D-изображения, объемного рендеринга и проекций максимальных интенсивностей.
Анатомические особенности
В современной отечественной медицине присутствует градация очагов, исходя из их формы, размера, плотности, структуры и состояния окружающих тканей.
Точная постановка диагноза на основании КТ, МРТ, флюорографии или рентгенографии является возможной лишь в исключительных случаях.
Обычно в заключении дается лишь вероятность наличия того или иного недуга. При этом непосредственно самому местонахождению патологии не придается решающего значения.
Яркий пример – нахождение очага в верхних долях легкого. Установлено, что данная локализация присуща 70% случаев выявления первичной злокачественной опухоли данного органа. Однако это является типичным и для туберкулезных инфильтратов. С нижней долей легкого присутствует примерно такая же картина. Здесь выявляют рак, развившейся на фоне идиопатического фиброза и патологические изменения, причиной которых стал туберкулез.
Большое значение уделяется тому, какими являются контуры очагов. В частности, нечеткий и неровный абрис, при диаметре поражения более 1 см, сигнализируют о высокой вероятности злокачественного процесса. Однако если присутствуют четкие края, это еще не является достаточным основанием для прекращения диагностирования пациента. Такая картина часто присутствует при доброкачественных новообразованиях.
Особое внимание обращают на плотность тканей: исходя из этого параметра, врач имеет возможность отличить пневмонию от рубцевания легочной ткани, например, вызванной посттуберкулезными изменениями.
Следующий нюанс – КТ позволяет определить типы включений, то есть определить структуру ООЛ. Фактически после обследования специалист с высокой точностью может сказать, какое именно вещество скапливается в легких. Однако лишь жировые включения дают возможность определить происходящий патологический процесс, так как все остальные не относятся к категории специфических симптомов.
Очаговые изменения в легочной ткани могут быть спровоцированы как достаточно легко поддающимся лечению заболеванием – пневмонией, так и более серьезными недугами – злокачественными и доброкачественными новообразованиями, туберкулезом. Поэтому важно своевременно их выявить, в чем поможет аппаратный метод обследования – компьютерная томография.




 

 

 

 
 
							
							
						 
							 
 
